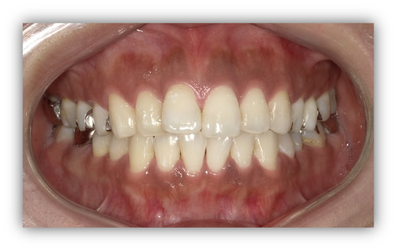
ガム(歯ぐき)ピーリングとは?
黒っぽく色素沈着してしまった歯ぐきを薬剤を使用して取り除くことです。
ガムピーリングをすることにより、色素沈着してしまっている薄皮をはがしていきます。
フェノールなどの薬剤を使用して歯ぐきの黒ずみを除去し、歯ぐきのターンオーバーを促し、メラニン色素によって黒ずんでいる表面の皮が取り除かれるので、元のようなきれいなピンク色に戻すことが期待できます♪
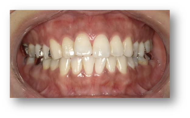
黒っぽく色素沈着してしまった歯ぐきを薬剤を使用して取り除くことです。
ガムピーリングをすることにより、色素沈着してしまっている薄皮をはがしていきます。
フェノールなどの薬剤を使用して歯ぐきの黒ずみを除去し、歯ぐきのターンオーバーを促し、メラニン色素によって黒ずんでいる表面の皮が取り除かれるので、元のようなきれいなピンク色に戻すことが期待できます♪
注:金属のかぶせ物などによるメタルタトゥー(金属が染み出して粘膜が黒ずんだ色になること)は、ピーリングだけでは改善しない可能性があります。


A 施術中は若干ピリピリするかもしれません。
A 当日から3日程度で歯ぐきの粘膜が徐々にポロポロ取れてきます。最初は赤っぽい色になりますが、約1週間後には表皮がしっかりしてきて、ピンク色の歯ぐきに生まれ変わります。
1回10,000円(税抜)
60分のご予約をいただきます♪
まずはお問合せください♪