※新規のホワイトニング
ご予約について
現在、当院のホワイトニング施術は大変こみあっております。
結婚式などのご予定がある場合は、お早めに3ヶ月前(土日ご希望の場合は半年前)までに
ご予約いただくことをお勧めしております。
ご希望に沿ったスケジュール調整をさせていただきますので、ご相談ください。
ご不明な点やご要望がございましたら、どうぞお気軽にお知らせください。
※新規のホワイトニング
ご予約について
現在、当院のホワイトニング施術は大変こみあっております。
結婚式などのご予定がある場合は、お早めに3ヶ月前(土日ご希望の場合は半年前)までに
ご予約いただくことをお勧めしております。
ご希望に沿ったスケジュール調整をさせていただきますので、ご相談ください。
ご不明な点やご要望がございましたら、どうぞお気軽にお知らせください。

ホワイトニングとは、加齢や遺伝により黄色くなっている歯を削らずに専用の薬剤を使って白くする、歯にやさしい審美治療です。蓄積した着色を漂白し、あなたの歯本来の白さを取り戻します。
より安全で確実な効果を得るために、まずはお口の中を健康な状態にしてからホワイトニングを行います。
年齢や男性、女性に関わらず、ホワイトニングをした方は白さをご実感でき喜んでいただいています!

当院のホワイトニングは多くの方に喜んでいただけるよう、リーズナブルなお値段で提供しております。
効果的な方法は、患者様の歯や生活習慣などによって異なります。まずはカウンセリングをしっかりさせていただきます。
お気軽にお問合せください♪
デュアルホワイトニングとは、オフィスホワイトニングとホームホワイトニングを併用する治療です。効率よく白い歯にすることができ、歯の白さを長期間保つことができます。

オフィスホワイトニング は、歯科医院でホワイトニング 剤を歯に塗布し、ホワイトニング専用の光照射器を当てて歯を白くする施術です。一度で数段階歯を白くすることが出来ます。

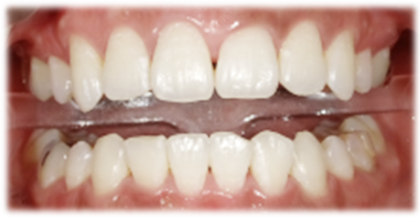
ホームホワイトニングからスタートし、使い始めてから1ヶ月たったころ、オフィスホワイトニングを受けました。
スタート時から7段階、色をアップさせることが出来ました♪

※白くなる度合いや速さは個人差があります。
オフィスホワイトニングとは、クリニックで行うホワイトニングです。短い時間で歯を白くできるので、即効性に優れています。



| 一般的な歯磨き剤 | 一般的なホワイトニング | スーパーポリリンホワイトニング | |
| 時間の短さ | ◎ | × | 〇 |
| ホワイトニング効果 | × | 〇 | ◎ |
| 仕上がりのナチュラル感 | × | △ | ◎ |
| 歯のダメージ | △ | × | ◎ |

まずお口の健康状態確認と歯の色を一緒に確認します。

ポリリン酸を使用した専用クリーナーで歯の汚れを取り除きます。

ポリリン酸専用ホワイトニングジェルを歯に塗布します。

9分の照射を2〜3回繰り返します。

施術終了後は歯の色の変化を確認いただき終了です。

ホームホワイトニングとは、自宅で行うホワイトニングです。歯科医院で「マウストレー」を作成し、ご自宅でそのマウストレーに薬剤を入れて装着します。
少しずつ白くなっていくので白さを実感するのに2週間ほどかかりますが、オフィスホワイトニングより持続時間を長く保つことができます。

ホームホワイトニングについての説明と現在の歯の色の確認を行います。

歯の型をとって、ホワイトニング専用のマウスピースを作製します。

完成したマウスピースとホワイトニングジェルをお持ち帰りいただきます。

マウスピースにティオンホームプラチナを流し込みます。

マウスピースを装着します。装着時間は歯科医師の指示に従ってください。

マウスピースにティオンホームプラチナを流し込みます。

マウスピースを装着します。

マウスピース装着中
※効果には個人差があります。
患者様の生活に笑顔が増えることを願って、「低価格」に「安全」に、「白い歯を実感、継続」することをコンセプトにしております。どうぞお気軽にご相談ください♪
| オフィスホワイトニング | 光照射2回 10,000円 光照射3回 12,000円 さらに平日の16時までにご予約で1000円割引 さらに前回ご来院から4か月以内の場合1000円割引 |
|---|---|
| ホームホワイトニングスタートセット | 15,000円 |
| デュアルホワイトニング (光照射3回+ホームホワイトニングスタートセット) |
27,000円➡25,000円 さらに前回ご来院から4か月以内の場合1000円割引 |